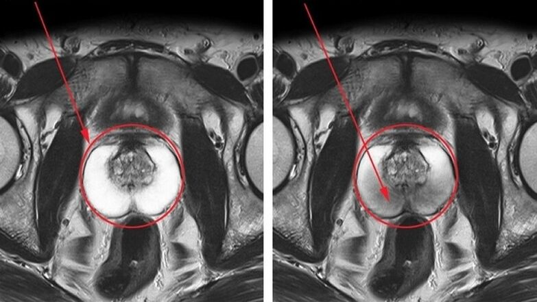
Prostatitis ass eng reng männlech Krankheet. Et ass charakteriséiert duerch Entzündung vun der Prostata Drüs. Et ass zimmlech schmerzhaf a verursaacht Onbequemlechkeet fir de Mann. Zur selwechter Zäit ignoréiere vill de Problem, an doduerch nëmmen hiren Zoustand verschlechtert. Als Resultat gëtt déi akut Form vun der Krankheet chronesch. Seng Symptomer erschéngen mat enger gewësser Frequenz, da verschwannen se komplett.
D'Fro wéi eng chronesch Prostatitis ze heelen ass am meeschte relevant an esou enger Situatioun.
Fonctiounen
Viru kuerzem sinn ëmmer méi Männer beschwéieren iwwer Verbrenne, Krämp, Péng beim Urinatioun, Verschlechterung vun der Potenz an enger schlechter Fortpflanzungsfäegkeet. Prinzipiell sinn all dës Zeeche vun der Prostatitis. Wéi d'Praxis weist, ginn et vill Grënn fir seng Optriede an d'Krankheet beaflosst de Kierper a verschiddenen Alter.
Nëmme rechtzäiteg a korrekt Behandlung hëlleft der Krankheet lass ze ginn. Dofir, bei den éischte Schëlder, ass et wichteg en Dokter ze konsultéieren. Hie wäert eng Rei vun Examen maachen, Tester virschreiwe an aner Prozeduren ausféieren. Baséierend op d'Resultater gëtt eng Diagnostik gemaach an déi effektivst Behandlungsmethod bestëmmt.
Awer vill Männer si sensibel fir dëst Thema, sou datt se probéieren hir Mängel ze verstoppen. Als Resultat gëtt de Verlaf vun der Krankheet méi komplizéiert, an déi akut Form gëtt chronesch. Déi lescht ass vill méi schwéier ze këmmeren a wäert méi Zäit an Effort verlaangen. An dësem Fall kann een net ouni eng Rei vu Restriktiounen a Konformitéit mat bestëmmte Recommandatiounen maachen. Zousätzlech bréngt eng Zort Therapie net dat gewënschte Resultat; eng Kombinatioun vun hinnen wäert néideg sinn.
Behandlung
Patienten mat chronescher Prostatitis sinn interesséiert ob et geheelt ka ginn a wéi et behandelt gëtt. Dës Fro ass ganz logesch, well all Mann wëll e normale Liewen ze féieren ouni Onbequemlechkeet. D'Behandlung vu Prostatitis bei Männer ass e komplexen an Zäitopwendende Prozess. Et erfuerdert eng korrekt a verantwortlech Approche. Zur selwechter Zäit sollt Dir net selwer Medikamenter huelen; et ass besser Hëllef vun engem Spezialist ze sichen an déi néideg Manipulatiounen nëmmen ënner senger Opsiicht auszeféieren.
D'Haaptmethoden vun der Behandlung vun der Prostata enthalen:
- traditionell Medizin;
- Medikamenter huelen;
- Physiotherapie;
- thermesch Impakt;
- Elektrotherapie a Lasertherapie;
- Diät.
Zousätzlech ginn et verschidde Approche fir d'Behandlung, déi ofhängeg vun der Aart vun der Krankheet: bakteriell an abakteriell. Fir déi éischt Zort Krankheet ass Antibiotike gutt ze huelen. De Kurs vun esou Therapie ass laang awer effektiv. Bei der Behandlung vun der zweeter gëtt haaptsächlech e staarke Floss vun Drogen benotzt, d'Aktioun vun deem zielt fir d'infizéiert Mikroflora ze zerstéieren. Zousätzlech ginn Stagnatiounsfaktoren also eliminéiert.

Zousätzlech Prozedure ginn dacks während der Behandlung benotzt. Zum Beispill, transrektal Massage. Et ass ganz effektiv fir chronesch Prostatitis. Et gëtt vun enger speziell ausgebilter Persoun duerchgefouert. Prinzipiell sinn dës Fäegkeeten vun engem Dokter besat. D'Dauer vun der Massage ass 12-15 Prozeduren, déi am Laf vun engem Mount gemaach ginn.
Kierperlech Übung huet och e positiven Effekt op de Kierper vun engem Patient mat Prostatitis. Zum Beispill Jogging moies an Owend, Schwammen. D'Haaptziel vun der Übung ass de Prozess vun der Bluttzirkulatioun am Kierper ze beschleunegen, wat him zousätzlech Kraaft gëtt. Ausserdeem hunn se e positiven Effekt op den Zoustand vun de Been a Becken, wou Stagnatioun dacks geschitt, wat zu Prostatitis féiert.
Vill Experten recommandéieren de Kierper ze härten - dës Prozedur wäert nëmmen d'Behandlung ergänzen. Well et aktivéiert d'Aarbecht vun all Organer am Kierper vum Patient.
Traditionell Medizin
Folk Heilmittel gi wäit an der Behandlung vu verschiddene Krankheeten benotzt. Ass et méiglech chronesch Prostatitis mat dëser Method ze behandelen? Vill Leit si besuergt. D'Benotzung vu Kraider, Blummen, Hunneg a Bäder sinn zimlech effektiv fir sou Krankheeten. Als Resultat kann Prostatitis doheem geheelt ginn. Ausserdeem ass dëst einfach ze maachen a mat minimale finanzielle Käschten.

Dir kënnt effektiv mat Prostatitis këmmeren andeems Dir déi folgend Folk Heilmittel benotzt:
- Hazel Branchen a Piniennadelen. D'Planzen mussen mat kochendem Waasser gegoss ginn an erlaabt ze brauen. Duerno gitt an e Basin a setzt an der Flëssegkeet. En ähnlecht Bad gëtt e puer Mol all Dag fir zwou Wochen duerchgefouert. D'Dauer vun enger Prozedur ass 15-20 Minutten;
- Kürbiskerne. Dës Planz ass reich an Zink, wat essentiell ass fir de männleche Kierper. Et hëlleft séier an effektiv mat villen Krankheeten eens. Kürbiskerne kënnen an hirer reiner Form 25-30 Mol am Dag giess ginn, oder benotzt fir eng speziell Léisung ze preparéieren. Déi zweet Applikatioun ass wéi follegt. Et ass néideg fir d'Somen an e pasty Zoustand ze schneiden. E Fleeschraaft hëlleft mat dësem. Fügen Se 150 Gramm Hunneg. All Zutaten grëndlech mëschen a kleng Kugelen rullt. Dëst muss an enger cooler Plaz gelagert ginn. Huelt een oder zwee Kugelen pro Dag virum Iessen. Zur selwechter Zäit muss et grëndlech kauen;
- Hunneg an celandine. Dëst Mëttel gëtt haaptsächlech no der medizinescher Behandlung vu Prostatitis benotzt, wann akuter Entzündung erliichtert gouf. Dës Zutate gi benotzt fir eng speziell Dekokatioun ze preparéieren. Dir musst trocken Kräuter Kraider huelen a fir 30 Minutten kachen. Duerno, strapazéieren an Hunneg addéieren. No der Preparatioun gëtt d'Bouillon an e Glascontainer gegoss an an enger cooler, donkeler Plaz gelagert. Et ass recommandéiert et 10 Gramm dräimol am Dag virum Iessen ze konsuméieren;
- Oat Dekokatioun. Dir musst de Produit huelen a fir 30 Minutten kachen. Duerno, belaaschten an drénken e Glas e puer Mol am Dag. D'Dauer vun der Behandlung op dës Manéier ass ongeféier zwee Méint. An dësem Fall ass et néideg Pausen all fënnef Deeg vun der Dekokatioun ze huelen. Wärend esou Therapie sollt Dir ustrengend kierperlech Aktivitéit vermeiden. Zum Beispill, an de Fitnessstudio goen. D'Resultater vun der Behandlung mat Folk Heilmittel wäerten Iech net waarden; si ginn bannent enger Woch siichtbar, mä Dir sollt net do ophalen. Fir datt d'Erhuelung geschitt an d'Krankheet fir ëmmer fort geet, ass et néideg fir de ganze Kurs ze kompletéieren;
- Petersilie. Dës Planz huet eng räich Zesummesetzung, déi eng Rei nëtzlech an heelen Substanzen enthält. Si këmmeren sech gutt mat entzündleche Prozesser am Genitalberäich a restauréieren hir Funktioun. Fir Prostatitis ze heelen, musst Dir Petersilie duerch e Juicer passéieren. Déi resultéierend Flëssegkeet muss e puer Mol am Dag an der Quantitéit vun engem Esslöffel geholl ginn. Dir kënnt och d'Somen vun der Planz benotzen. Si ginn zu engem Pulver gemuel, mat kochendem Waasser gegoss a fir zwanzeg Minutten gekacht. Duerno killt a drénken e Esslöffel virum Iessen.
Chronesch Krankheet kann mat anere Folk Heilmittel geheelt ginn. Zum Beispill, Wormwood. Dës Planz hëlleft Entzündung ze entlaaschten an pyogene Infektiounen ëmzebréngen. Wormwood muss mat Ären Hänn virum Gebrauch reiwen. Duerno gëtt een Deel dovun a senger reiner Form verbraucht, an deen aneren gëtt benotzt fir eng speziell Abkochung ze preparéieren, déi benotzt gëtt fir d'Urethra ze douchen.
D'Batterkeet, déi d'Planz besëtzt, huet e positiven Effekt op de Kierper. Et botzt de Kierper vu schiedleche Bakterien, déi ustiechend Agenten ginn. Nëmmen op dës Manéier kënnt Dir d'Krankheet komplett befreien.
De Schema fir sou e Mëttel ass wéi follegt:
- Am Ufank vun der Behandlung ass et néideg eng Prise vun der Planz ze konsuméieren. Duerno musst Dir e Glas Waasser drénken. Et ass néideg d'Prozedur all zwou Stonnen auszeféieren. D'Dauer vun der Behandlung ass also dräi Deeg. Et ass egal wéini d'Iessen geholl gëtt. Dës Deeg empfeelt den behandelenden Dokter keng Pausen. D'Kraider muss nuets an de selwechten Intervalle geholl ginn;
- Déi spéider Behandlung fënnt nëmmen am Dag statt. Dir musst eng Prise Wormwood fënnef oder sechs Mol iessen. D'Dauer vun esou enger Empfang ass véier Deeg;
- Am Owend ginn zousätzlech Prozedure mat Wormwood erfuerderlech. Si ginn a Form vu Mikroenema presentéiert. Fir se ze preparéieren braucht Dir en Teelöffel trocken Kraider. Füügt e Glas Waasser derbäi a kachen et. Duerno gëtt de Bouillon gefiltert an op eng Temperatur vu 37 Grad ofgekillt. 50 ml Flëssegkeet muss fir d'Prozedur geholl ginn. Et gëtt duerch Injektioun an den Anus duerchgefouert. An dësem Fall gëtt keng Defecatioun observéiert. Eng aner 50 ml Léisung muss an d'Urethra injizéiert ginn. D'Dauer vun der Behandlung ass eng Woch. Bannent e puer Deeg fänkt Stagnatioun un.
Diät
Fir dat gewënschte Resultat vun der Behandlung mat Folk Heilmittel ze kréien, musst Dir eng Diät folgen. Et besteet aus der Eliminatioun vu Fett a Mëllechprodukter, Eeër a Séissegkeeten aus der Diät. Ausserdeem musst Dir Äre Konsum vu Brout limitéieren. Et ass erlaabt nëmmen an dréchen Form an a Quantitéiten vun net méi wéi 200 Gramm pro Dag. Och während der Behandlungsperiod ass et néideg fir Alkohol, Zigaretten an aner schiedlech Substanzen z'erhalen.

Wa mir iwwer Produkter schwätzen, déi erlaabt sinn, enthält dëst Geméis an Uebst. Well si reich an Faser, Vitaminnen an aner nëtzlech Substanzen. Dir kënnt Cerealien, Nëss a Sonneblummenueleg iessen.
Drogenbehandlung
Folk Heilmittel versoen dacks chronescher Prostatitis ze heelen. Si ginn haaptsächlech a Kombinatioun mat Drogentherapie benotzt oder duerno verschriwwen. D'Benotzung vun Medikamenter an der Praxis stellt sech vill méi effektiv am Kampf géint d'Krankheet eraus. Si hëllefen séier de Patient ze heelen.
Meeschtens verschreift d'Drogentherapie Antibiotike a rektal Suppositorien. Déi éischt erlaabt Iech d'Bakterien ze zerstéieren, déi zu der Entwécklung vun der Krankheet gefouert hunn. Si mussen extrem suergfälteg a strikt no dem Schema benotzt ginn. Well si fäeg sinn an der Prostata Drüs ze accumuléieren.
D'Behandlung ass och méiglech mat rektal Suppositorien. Si erlaben Iech séier d'Symptomer ze entlaaschten, déi d'Krankheet begleeden. Zousätzlech blockéieren se den entzündleche Prozess an hunn e mëllen Effekt op d'Maueren vum Rektum. Rektal Suppositorien hunn keng Nebenwirkungen déi dacks optrieden wann Dir Antibiotike benotzt.
In der Regel ass chronesch Prostatitis heelbar. Den Haapt Saach ass d'Empfehlungen vun Ärem Dokter ze verfollegen. Mat der richteger Approche fir de Problem ze léisen, wäert d'Krankheet heelen net schwéier sinn. Awer trotzdem sollt Dir Ären Zoustand net op eng chronesch Form vu Prostatitis bréngen; et ass besser an der éischter Etapp Hëllef ze sichen.
Soubal Dir Onbequemlechkeet während der Urinatioun erliewt, sollt Dir bei den Dokter goen. Et wäert hëllefen d'Ursaach vun der Malaise ze bestëmmen. Wann néideg, wielt hien eng effektiv Behandlung fir d'Krankheet. Als Resultat wäert de Mann fäeg sinn an säin normale Liewen zréckzekommen ouni Onbequemlechkeet ze erliewen.























